CEREC – Single-Visit Crowns in Santa Rosa, CA
Serving Sonoma County and the Bay Area, including San Francisco, Petaluma, and Napa
Serving Sonoma County and the Bay Area, including San Francisco, Petaluma, and Napa
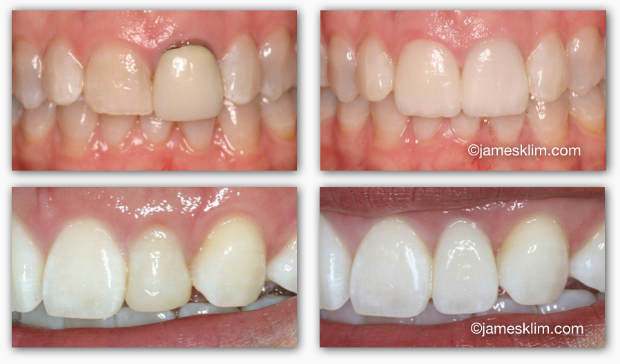
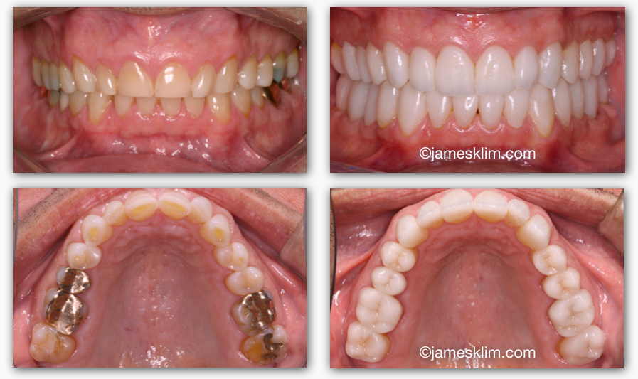
CEREC CAD/CAM restorative dentistry allows damaged or broken teeth to be restored quickly, precisely, and beautifully—often in a single appointment. Dr. James Klim, a world-renowned clinician and educator in CAD/CAM dentistry, offers patients custom, color-matched ceramic restorations created right in his Santa Rosa office.
From simple fillings to full crowns, bridges, implant-restored crowns, and porcelain veneers, CEREC technology is redefining restorative dentistry—saving time while delivering long-lasting, natural results.

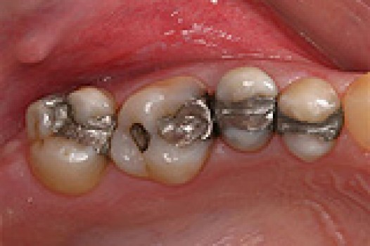
Examination and Planning – Dr. Klim evaluates the tooth and determines the most effective restorative solution. Diseased or defective areas are removed, while preserving the maximum natural tooth structure.
Digital Impression – Using the CEREC CAD/CAM System, a 3D optical scan of the tooth is captured in the mouth. This eliminates the need for traditional physical impressions, making the process more comfortable for patients.
Computer-Aided Design (CAD) – High-tech CAD software allows Dr. Klim to design the restoration with precision, customizing shape, function, and aesthetics for the individual tooth.
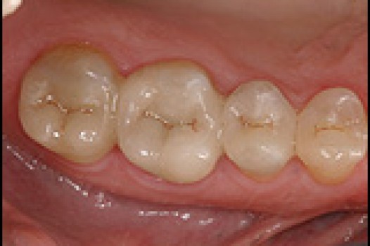
On-Site Milling – The design is sent to our in-office milling machine, which fabricates the restoration from high-strength, biocompatible materials such as e.max or Zirconia. Within minutes, the restoration is color-matched and ready for placement.
Placement and Finishing – The restoration is bonded to the tooth, polished, and finished for a durable, natural-looking result. This process strengthens the tooth while maintaining healthy enamel and surrounding tissues.

Time-Saving – Many restorations are completed in one visit, often eliminating the need for temporary crowns or additional appointments.
Custom Design – Dr. Klim personally controls the shape, fit, and aesthetics of every restoration.
Metal-Free and Biocompatible – CEREC restorations use tooth-colored ceramics, offering a safe and healthy alternative to traditional metal or amalgam restorations.
Durable and Functional – Materials like e.max and Zirconia provide long-lasting strength, natural wear, and a lifelike appearance.
Preserves Tooth Structure – The bonding process reinforces the natural tooth while keeping as much healthy enamel intact as possible.

For ceramic placement, the CAD/CAM restorations are bonded to the tooth so Dr. Klim can save as much healthy tooth structure as possible while providing the restored tooth with a dental restoration that actually strengthens the restored tooth. The enamel-like material created using the CEREC system is biocompatible with the soft tissues in the mouth and provides a high-grade, anti-abrasive and plaque-resistant finish.

Dr. Klim is a pioneer in digital CAD/CAM dentistry, combining artistry, precision, and advanced technology to deliver restorations that are both functional and beautiful. Whether you need a crown, onlay, or veneer, you’ll benefit from world-class expertise, single-visit convenience, and restorations that blend seamlessly with your natural teeth.
Serving patients from all over the bay area, including Santa Rosa, Petaluma, Sonoma and Napa, CA.
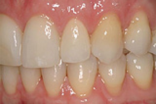
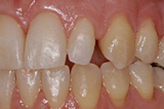
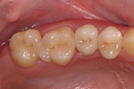
CASE STUDIES:
Our Santa Rosa, CA office serves Sonoma County & the Bay Area including San Francisco, Petaluma, Napa
© 2026 — James Klim, DDS