• Home
  • About Us
    • Columns
      • About Dr. Klim
      • Meet The Team
      • Insurance
      • Testimonials
  • Smile Gallery
  • Services
    • Columns
      • Single Visit Crowns
      • Veneers
      • Cosmetic Dentist in Santa Rosa, CA
      • Guided Biofilm Therapy (GBT)
      • 3D X-Ray
      • Bonded Restorations
      • Neuromuscular Dentistry
      • Metal-Free Bonded Restorations
      • Bridges
      • Non-Metal Crowns
      • Gum Care
        • Teeth Whitening
        • Two Visit Orthodontics
        • Fresh Breath Concepts
        • Relieving Head & Neck Pain
        • Dental Implants
        • Fixing Gaps
        • Facelift without Surgery
        • Creative Gum Sculpting
        • Drill Free Dentistry
  • FAQ
  • Blog
  • Contact Us

Call us today! 707-546-4582

Find our Office
info@jamesklim.com
Login

Login
James Klim, DDSJames Klim, DDS
James Klim, DDSJames Klim, DDS
  • Home
  • About Us
    • Columns
      • About Dr. Klim
      • Meet The Team
      • Insurance
      • Testimonials
  • Smile Gallery
  • Services
    • Columns
      • Single Visit Crowns
      • Veneers
      • Cosmetic Dentist in Santa Rosa, CA
      • Guided Biofilm Therapy (GBT)
      • 3D X-Ray
      • Bonded Restorations
      • Neuromuscular Dentistry
      • Metal-Free Bonded Restorations
      • Bridges
      • Non-Metal Crowns
      • Gum Care
        • Teeth Whitening
        • Two Visit Orthodontics
        • Fresh Breath Concepts
        • Relieving Head & Neck Pain
        • Dental Implants
        • Fixing Gaps
        • Facelift without Surgery
        • Creative Gum Sculpting
        • Drill Free Dentistry
  • FAQ
  • Blog
  • Contact Us

Two-Visit Orthodontics

Home Two-Visit Orthodontics

Cosmetic Dentistry Orthodontics

Our Santa Rosa, CA office serves Sonoma County & the Bay Area including San Francisco, Petaluma, Napa

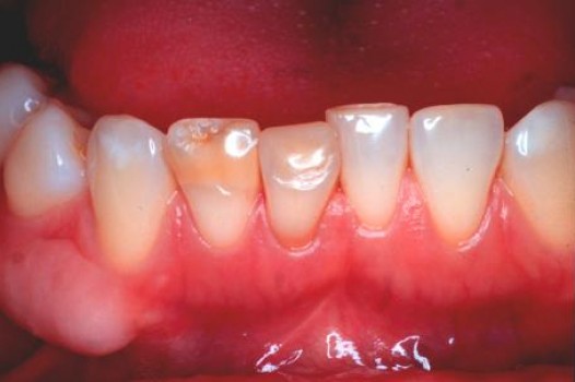
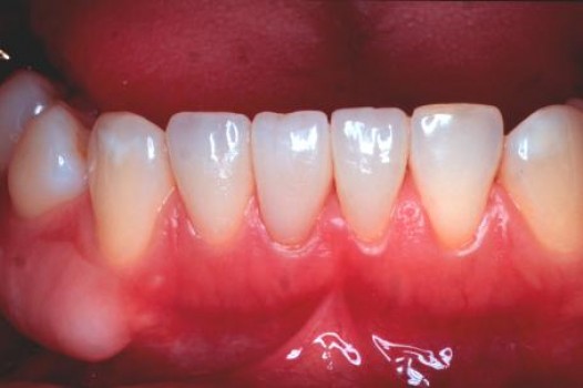
Two-visit Orthodontics

With modern dental technology, uneven teeth can be reshaped to create a more symmetrical smile. In as few as two visits to the Gallery of Fine Smile Design, your smile can be redesigned into a beautiful, natural work of art.

Orthodontics in just two visits! How can that be?

With modern dental technology, uneven teeth can be reshaped and laminated with high-tech ceramics to give the appearance of a symmetrical smile. The extent to which this approach can be used depends on how crooked and crowded the teeth are to begin with.

There is hope for even moderate to advanced crowding or extra space situations. With the combination of initial short-term braces (6-12 months), followed with high-tech laminated ceramics, a beautiful result can be accomplished in a reasonable amount of time, even for the most time-sensitive adult.

Our office is located in Santa Rosa, but we welcome patients in from San Francisco, Sonoma County & Bay Area.

Gallery Spotlight

Advertisment

Facebook Widget

Services

Our Santa Rosa, CA office serves Sonoma County & the Bay Area including San Francisco, Petaluma, Napa

Contact Us

  • James Klim, DDS, FAGD, AAACD
  • 707.546.4582
  • info@jamesklim.com

Contact Us

Feel free to send us an email.

Send Message
See the smiles we've crafted Our Gallery of Fine Smile Design

Contact Info

  • James Klim, DDS, FAGD, AAACD
  • 170 Farmers Lane, Suite 6B Santa Rosa, CA 95045
  • 707-546-4582
  • info@jamesklim.com
  • jamesklimdental.com

Fresh from blog

  • Smile With Confidence
  • Missing Teeth Can Be a Thing of the Past
  • “Four front teeth can make a new life”
  • “TMJ” like symptoms MPD
  • What is CAD/CAM Dentistry?
  • Why Smile?

Like us on Facebook

James Klim, DDS, FADG, AAACD
COSMETIC DENTISTRY
OUR SANTA ROSA, CA OFFICE SERVES SONOMA COUNTY & THE BAY AREA INCLUDING SAN FRANCISCO, PETALUMA, NAPA
170 FARMERS LANE, SUITE 6B, SANTA ROSA, CA 95405.

NPP

NPP (Notice of Privacy Practices)

© 2026 — James Klim, DDS

  • Home