Drill-free Cosmetic Dentistry
Our Santa Rosa, CA office serves Sonoma County & the Bay Area including San Francisco, Petaluma, Napa
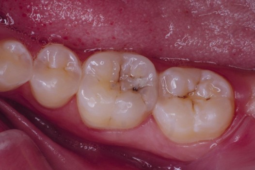
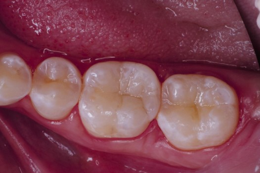
Using a modern diagnostic tool called Diagnodent, Dr. Klim can detect cavities before they become visible on an x-ray or to the naked eye. This allows him to repair tooth decay without a drill.
The pits and grooves on the biting surface of teeth often serve as plaque traps and pathways for bacteria to invade the inside of a tooth. This, in turn, leads to the development of cavities. Early diagnosis and treatment arrests the spread of decay and thus prolongs the life of the tooth. Regardless of the size of the affected tooth structure, decay may be swept away with the air abrasion technique and corrected by bonded ceramics, which seal the tooth against further bacterial invasion.










