Dentists have struggled for years to create natural replacements for missing teeth. Thanks to scientific research & biologically compatible materials, today’s dentist can use dental implants to replace missing teeth with permanent, natural-looking substitutes.
Today’s technology allows Dr. Klim to replace missing teeth with a natural and functional alternative that can be superior to traditional dentures and bridges.
In our office, we plan the implant placement first virtually.
Cone Beam 3D technology provides precise planning and implant placement using a digitally designed guide. 
One thing that is unique to our restorative implant services is that Dr. Klim digitally designs, fabricates, and customizes the implant abutments and final implant crowns using digital CAD/CAM technology.
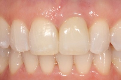
It is always a pleasure to hear a client remark “I forget it is an implant and not my natural tooth”.
To learn more about dental implant options please call our office at 707-544-7645 to schedule a consultation with Dr Klim.




