This usually takes 2-3 weeks.
Technological advances in 3D imaging and virtual design now allow me to design the final restorations on a computer. I will scan in the wax-up prototype and use it as a guide for virtual tooth design.
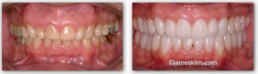
The final restorations are then machined from a refined grade of ceramic that functions and appears like natural enamel. Studies affirm that the machined ceramic have better inherent functional properties (less likely to fracture) than traditional laboratory stacked or pressed ceramics.
The natural tooth gradation/color transition is already designed in the ceramic, so the aesthetic result is very natural. In addition, when these ceramics are bonded with precise clinical technique, they will surpass tooth strength and yet have wear properties that are as biologically compatible as enamel.
Artistic finishing techniques are used for the final texturing and superficial gloss. The artistic eye that I inherited from my mother shines through at this point.
Restoration bonding is critical for a successful outcome. I use biological “super glues” to adhere the ceramic to the tooth to create a biological seal. The gum tissue and body will recognize these restorations as ones of it’s own. They are optimal for wear and biological compatibility.
The final phase is completing the lower arch and fine-tuning the bite. Since teeth are attached to the jawbone with very small ligaments, teeth will experience subtle movement. Following restoration placement the teeth and jaw joint will experience orthopedic settling. It is important to fine-tune the bite until physiological restorative settling is complete (usually 6-12 months). This will assure proper function of teeth for years to come.
As an assurance final step, maintenance retainers are made for nighttime use to stabilize bite and prevent grinding.

An aesthetic prototype was created to propose aesthetics and bite ratio of tooth length between the upper and lower arch.
An aesthetic prototype was created to propose aesthetics and bite ratio of tooth length between the upper and lower arch.
The patient is then placed on a proper hygiene protocol to maintain the gum health and given home care advice to prevent cavities and gum disease.