Gum Sculpting Cosmetic Dentistry
Our Santa Rosa, CA office serves Sonoma County & the Bay Area including San Francisco, Petaluma, Napa
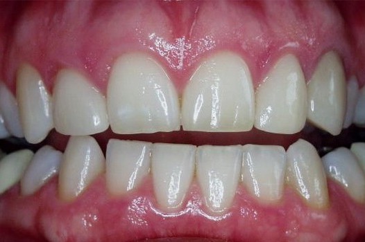
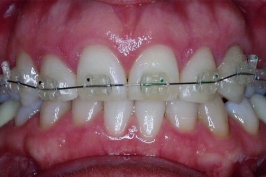
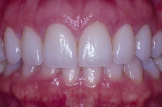
Creative Gum Sculpting
Gummy smile? Asymmetrical gumline? How the gums frame the teeth can make a significant difference in the appearance of your smile.
Aesthetic resculpting of the gumline will often put the final touches on the smile, like the ribbon on a package. Symmetry on the gumline is just as important as having symmetrical edges on the teeth. In my orthodontic office I use two basic ways to recontour the gums.










