Metal-Free Fillings | Tooth Restorations
Serving Santa Rosa, CA and the Bay Area, including San Francisco, Petaluma, Napa, and Sonoma County
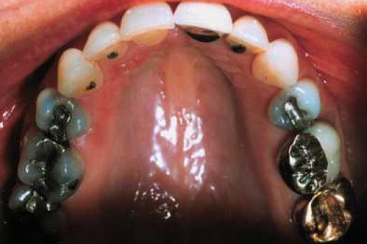
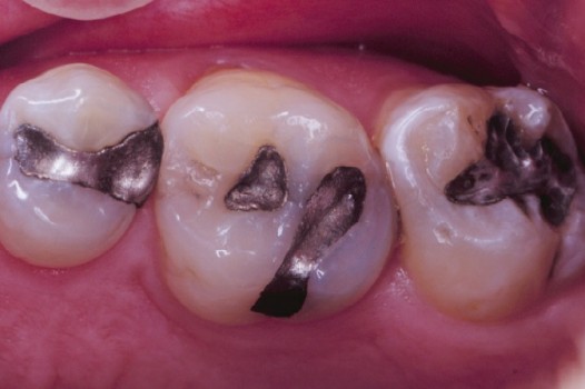
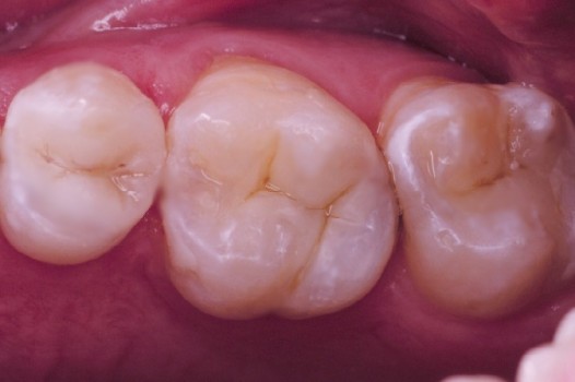
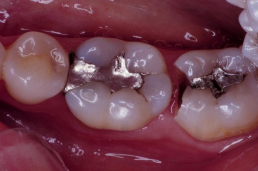
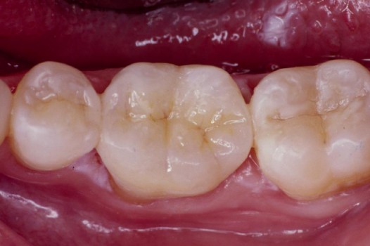
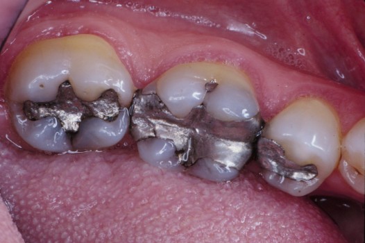
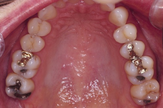
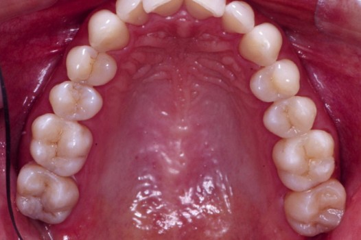
A Safer, Stronger Alternative to Mercury Fillings
Traditional amalgam (mercury) fillings have been used for over a century, but concerns about health risks, tooth fractures, and long-term decay have led many dentists to adopt modern alternatives. Today, metal-free restorations offer healthier, stronger, and more natural-looking results.
Using advanced resins, ceramics, and state-of-the-art bonding techniques, Dr. Klim can restore teeth with precision, preserving healthy tooth structure while preventing fractures, bacterial invasion, and future toothaches.















