• Home
  • About Us
    • Columns
      • About Dr. Klim
      • Meet The Team
      • Insurance
      • Testimonials
  • Smile Gallery
  • Services
    • Columns
      • Single Visit Crowns
      • Veneers
      • Cosmetic Dentist in Santa Rosa, CA
      • Guided Biofilm Therapy (GBT)
      • 3D X-Ray
      • Bonded Restorations
      • Neuromuscular Dentistry
      • Metal-Free Bonded Restorations
      • Bridges
      • Non-Metal Crowns
      • Gum Care
        • Teeth Whitening
        • Two Visit Orthodontics
        • Fresh Breath Concepts
        • Relieving Head & Neck Pain
        • Dental Implants
        • Fixing Gaps
        • Facelift without Surgery
        • Creative Gum Sculpting
        • Drill Free Dentistry
  • FAQ
  • Blog
  • Contact Us
James Klim, DDSJames Klim, DDS
James Klim, DDSJames Klim, DDS
  • Intro
  • Features
  • WooCommerce
  • Our Work
  • Contact
  • Back to Demo
[rev_slider one-page-slider]

Create Professional Websites

Responsive & optimized for mobile devices.
Completely without coding skills!

Retina Ready

Mauris rhoncus pretium porttitor. Cras scelerisque commodo odio. Phasellus dolor enim, faucibus egestas scelerisque hendrerit, aliquet sed lorem.

Smart Framework

Mauris rhoncus pretium porttitor. Cras scelerisque commodo odio. Phasellus dolor enim, faucibus egestas scelerisque hendrerit, aliquet sed lorem.

Completely Customizable

Mauris rhoncus pretium porttitor. Cras scelerisque commodo odio. Phasellus dolor enim, faucibus egestas scelerisque hendrerit, aliquet sed lorem.

Client Testimonials

  • There are lots of competent dentists but few who are truly excellent. Dr. Klim and his hygenists have been taking care of my teeth for years, and I would call them by every superlative. In addition to doing a beautiful job, he also has a lovely modern comfortable office, and I’ve never had to sit in the waiting room for over one minute. Can you say that about your dentist? Didn’t think so.

    G.W.
  • I have been seeing Dr. Klim since 1988.  There is no one else like him!  He knows his stuff and is a very kind and caring human.  I have called him in pain on Christmas Eve and he came right away to his office to help me.  I can not say enough great things about this man!

    B.L.
  • Had 2 cerec crowns done with Dr Klim 2 years ago – all in 1 sitting. The crowns were shaped right in front of me and installed within minutes! No molds, no temporary crowns, no waiting for weeks. The biggest advantage for me was the ability to perform  an x-ray on the crowns and be able to prevent any possible decay under them. Recently ate a bunch of chewy candy, and broke a molar tooth – while the crowns stayed intact! I would highly recommend choosing cerec over any other technology, and Dr Klim is the one you want to do it with – dentists from around the world flock to his center to get certified in cerec technology! The staff members are extremely thoughtful and attentive, while the office itself is SPA-like serene… Exceptional attention to every detail. Would highly recommend this experience!

    E.P.

The Last Theme You’ll Ever Have To Buy

Simple yet powerful options allow you to create any type of
website you can imagine. Millions of possibilities.

Ultra Responsive Design

Phasellus enim libero, blandit vel sapien vitae, condimentum ultricies magna et. Quisque euismod orci ut et lobortis aliquam. Aliquam in tortor enim.

Premium Sliders

Phasellus enim libero, blandit vel sapien vitae, condimentum ultricies magna et. Quisque euismod orci ut et lobortis aliquam. Aliquam in tortor enim.

Advanced Options

Phasellus enim libero, blandit vel sapien vitae, condimentum ultricies magna et. Quisque euismod orci ut et lobortis aliquam. Aliquam in tortor enim.

1 Click Demo Import

Phasellus enim libero, blandit vel sapien vitae, condimentum ultricies magna et. Quisque euismod orci ut et lobortis aliquam. Aliquam in tortor enim.

Lifetime Support

Phasellus enim libero, blandit vel sapien vitae, condimentum ultricies magna et. Quisque euismod orci ut et lobortis aliquam. Aliquam in tortor enim.

Video Tutorials

Phasellus enim libero, blandit vel sapien vitae, condimentum ultricies magna et. Quisque euismod orci ut et lobortis aliquam. Aliquam in tortor enim.

I'm in. Buy Highend now!

Interesting Facts

Employees

Projects Completed

Pixels Pushed

Devices Used

Fully functional eShop – WooCommerce

Need an online shop? Highend is fully compatible with the most popular shop plugin – WooCommerce.
The beautiful design will make your shop really special.

Buy Highend Visit Shop Now

woo-mockup

Our Work

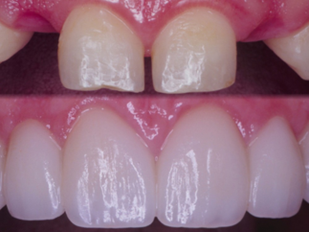
Bridges

4 May 2016

3D X-Ray

3 May 2016

Dental Implants

13 Apr 2016

Veneers

8 Apr 2016

Single Visit Crowns

2 Apr 2014

TMJ Tension Headaches

2 Apr 2014

Call us today!

+181 500 600 1

Integer pulvinar elit erat, vitae sagittis tortor accumsan facilisis.
Curabitur vel cursus eros. Integer convallis sodales dolor, at feugiat dolor laoreet vel.

    Contact Us

    Feel free to send us an email.

    Send Message

    Contact Info

    • James Klim, DDS, FAGD, AAACD
    • 170 Farmers Lane, Suite 6B Santa Rosa, CA 95045
    • 707-546-4582
    • info@jamesklim.com
    • jamesklimdental.com

    Fresh from blog

    • Smile With Confidence
    • Missing Teeth Can Be a Thing of the Past
    • “Four front teeth can make a new life”
    • “TMJ” like symptoms MPD
    • What is CAD/CAM Dentistry?
    • Why Smile?

    Like us on Facebook

    James Klim, DDS, FADG, AAACD
    COSMETIC DENTISTRY
    OUR SANTA ROSA, CA OFFICE SERVES SONOMA COUNTY & THE BAY AREA INCLUDING SAN FRANCISCO, PETALUMA, NAPA
    170 FARMERS LANE, SUITE 6B, SANTA ROSA, CA 95405.

    NPP

    NPP (Notice of Privacy Practices)

    © 2026 — James Klim, DDS

    • Home