Relieving Headaches
and Neck Pain with Biofunctional Dentistry
Our Santa Rosa, CA office serves Sonoma County & the Bay Area including San Francisco, Petaluma, Napa
(“TMJ”-like symptoms)
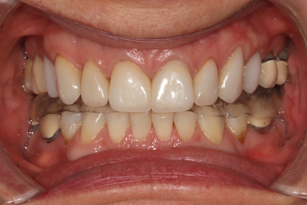
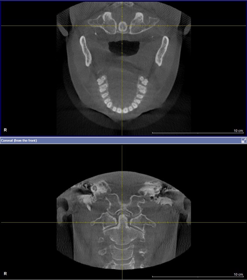
Over 40 million Americans suffer from Myofascial Pain Dysfunction (MPD), a condition that causes headaches and muscular pain. Dr. Klim uses advanced biofunctional diagnostic techniques to decrease painful tension in the head, neck, and shoulder muscles.
Many suffer from Myofascial Pain Dysfunction (MPD) and are not sure of the nature of their condition and how to solve it. You may have heard other terms that describe this condition such as TMJ or TMD. This is short for Temporomandibular Joints. Craniomandibular Dysfunction (CMD) or Temporomandibular Disorder (TMD) are another terms dentist use.
Estimates show that this disorder afflicts over forty million Americans. If you are one of them, you will relate to several of the following conditions:

















