Tooth Whitening Smile Gallery
Our Santa Rosa, CA office serves Sonoma County & the Bay Area including San Francisco, Petaluma, Napa
Our Santa Rosa, CA office serves Sonoma County & the Bay Area including San Francisco, Petaluma, Napa
Dr. Klim uses next-generation tooth whitening systems to help you rejuvenate your smile. Today’s technology lets you whiten your teeth faster and safer than ever before.
Tooth whitening is one of the simplest ways to make a smile more youthful. Whitening technology has come a long way in the last decade. With the proper application, prescription, and a healthy mouth, tooth whitening is very safe. Tooth whitening in an unhealthy mouth may cause complications. That is why it is important to be under the direct supervision of a dental professional during the process.
The Gallery of Smile Design is a tooth whitening center with a spa atmosphere. Tooth whitening is one of the simplest ways to make a smile more youthful. In-office tooth whitening is the newest, fastest technology to whiten you teeth. In just over an hour, you will leave with a brighter smile that makes you look great, feel better and eager to impress everyone you meet. 
Tooth whitening technology has come a long way in the last decade. With the proper whitening approach and a healthy mouth, tooth whitening is very safe. Tooth whitening in an unhealthy mouth could cause complications. That is why it is important to be under the direct supervision of a dental professional during the process.
Many of our power whitening clients are experiencing up to 5-9 shades of lightening. In many situations, this will be enough to accomplish your desired whitening. To maintain the power whitening process, the Home Whitening Technique can be used.
The home tooth whitening technique is accomplished by fabricating a soft mold to fit over the teeth, similar to an athletic mouth guard, except much thinner. Many patients have reported it feels like they have nothing in their mouth when the whitening splint is in place.
The whitening splint is made to hold the whitening gel in close contact with the teeth. The process is simple. Gel is applied in the whitening splint and inserted over the teeth for 1-2 hours. This can easily be done while watching TV, or any other non-physical activity. Before you know it, the lightening process takes place.
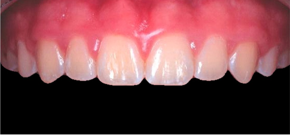
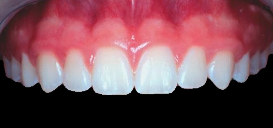
For those cases with stubbornly dark teeth or that exhibit whitening resistance, the combination approach will be beneficial. The above photographs show a superb whitening result (upper teeth only) of power whitening followed with the home tooth whitening technique.
ADDITIONAL INFORMATION:
ZOOM! Patient Consent Form
Informed consent form required of all tooth whitening procedure candidates.
ZOOM! Post-Procedure Care
Outlines what you need to know to care for your teeth following a tooth whitening procedure.
Our office is located in Santa Rosa, but we welcome patients in from San Francisco, Sonoma County & Bay Area.
Our Santa Rosa, CA office serves Sonoma County & the Bay Area including San Francisco, Petaluma, Napa
© 2026 — James Klim, DDS